|
查看: 14241|回复: 33
|
捎牙妹の绑牙日记★
[复制链接]
|
|
|
本帖最后由 AgnessKwan 于 21-12-2010 05:15 PM 编辑
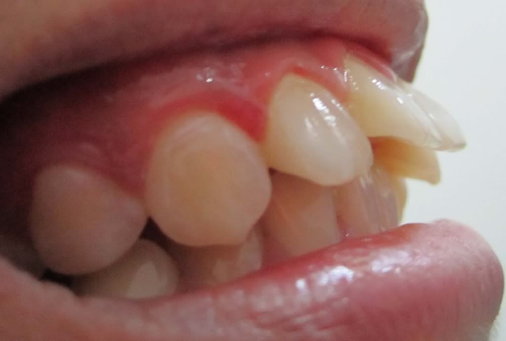
写这绑牙记纯粹为了分享..让想绑牙或者想知道更多绑牙资讯的人知道更多绑牙的点点滴滴~ 话说,本人是遗传性的捎牙妹,说严重不是很严重,说不严重又不好看.小,中学时期时,家人就不断鼓励我去绑牙..只是当时觉得绑牙要带着钢线变成钢牙妹很丑,多次拒绝家人的好意.直到中五那年被人笑我是捎牙妹, 照镜子时发现嘴巴有点合不起来了..才觉得真的应该要绑牙. *在此奉劝想要绑牙的人趁早啊,不要犹豫太久了..(我后悔迟了) ~早绑=早漂亮 ~越年轻绑=治疗时间越短(因为牙齿结构还没固定,还在发育) 那年考完了大考后,趁自己还没过18岁就去政府牙科部门注册,可是要排队,一排就要好几年....那时才刚中学毕业,自己根本没有能力绑私人,家境也不好,不想家人出那么多钱,所以我的绑牙计划就不了了之了....
放张绑牙钱的牙齿素颜照~
我就是面对牙齿突出的问题 待续..............
|
|
|
|
|
|
|
|
|
|
|
发表于 23-12-2010 12:09 AM
|
显示全部楼层
我来支持你,追你的故事噢~  |
|
|
|
|
|
|
|
|
|
|

楼主 |
发表于 23-12-2010 09:38 AM
|
显示全部楼层
我来支持你,追你的故事噢~
舞猫猫 发表于 23-12-2010 12:09 AM 
谢谢捧场~谢谢收看~好开心.. |
|
|
|
|
|
|
|
|
|
|
发表于 23-12-2010 09:56 AM
|
显示全部楼层
加油!我一绑了一年半了。相信还有几个月就可以拿下牙套了! 我是因为牙齿不整齐才绑牙的。大学毕业后(从国外回来),才开始绑的。实在有点后悔为什么不趁年纪更小的是时候就去绑。早绑=早点美丽  |
|
|
|
|
|
|
|
|
|
|

楼主 |
发表于 23-12-2010 10:07 AM
|
显示全部楼层
加油!我一绑了一年半了。相信还有几个月就可以拿下牙套了! 我是因为牙齿不整齐才绑牙的。大学毕业后 ...
min_D 发表于 23-12-2010 09:56 AM 
谢谢加油哦~绑一年半就能拿下牙套了,你的进度也蛮快的~难得哦..我的还遥遥无期啊.. 请问绑牙期间你有变瘦吗?脸型有变小吗? 你也要加油哦,期待拿下牙套后你的靓牙靓样~ |
|
|
|
|
|
|
|
|
|
|
发表于 23-12-2010 10:37 AM
|
显示全部楼层
|
|
|
|
|
|
|
|
|
|

楼主 |
发表于 27-12-2010 06:11 PM
|
显示全部楼层
本帖最后由 AgnessKwan 于 27-12-2010 06:14 PM 编辑
直到最近,认为自己有能力了,想一圆自己的绑牙梦,就开始做survey..
~问朋友在哪里做牙齿纠正手术
~上私人牙科诊所consult
已经打算阔出去了
这时候却收到政府牙科诊所的来信,关于:
1)你的名字在我们waiting list里面,你可以与我们的牙科权威约时间做个详细的牙齿检查.注:这次只是初会面,不会进行任何治疗,牙科权威将给您分析与建议.
2)你应该清楚了解,我们只会在以下情况为您进行治疗:
~牙齿严重情况在于Gred 4/Gred 5 of Index of Orthodontic Need .
~拥有良好的身体状况
~拥有坚定的意志以进行好长期的治疗
~遵守并接受当牙科纠正手术病患的责任
可以拿到政府的服务,我觉得是一个很好的机会,毕竟政府的收费比私人的来得便宜许多..可以省很多叻. 我排了不是很久..大概一年半(我的朋友排了5年才拿到)..只是,复诊时间和地点不方便,每次要请假.还有我担心每次去看牙医都要等很久,也担心政府医务人员的态度不好. |
|
|
|
|
|
|
|
|
|
|
发表于 27-12-2010 08:47 PM
|
显示全部楼层
你就好了,至少在waiting list里边。
我去政府clinic问,结果,他们说只帮未超过18岁的少年人弄。
我老了,不帮我弄...... |
|
|
|
|
|
|
|
|
|
|
发表于 27-12-2010 09:05 PM
|
显示全部楼层
不要以为绑牙一定会变美呢。。。。 本来看起来没有很严重的。
我现在绑了2年了, 嘴唇都变形, 合不上, 嘴形还不对称。
花了这几千块钱不说, 我天天祈祷完成之后能有正常的面容我就谢天谢地了。
我真的很担心。 |
|
|
|
|
|
|
|
|
|
|
发表于 27-12-2010 09:22 PM
|
显示全部楼层
不要以为绑牙一定会变美呢。。。。 本来看起来没有很严重的。
我现在绑了2年了, 嘴唇都变形, 合不上, 嘴 ...
快乐四叶草 发表于 27-12-2010 09:05 PM 
是吗?绑了牙反而不美,怎麽会那样? |
|
|
|
|
|
|
|
|
|
|
发表于 27-12-2010 09:25 PM
|
显示全部楼层
是吗?绑了牙反而不美,怎麽会那样?
samtrdg 发表于 27-12-2010 09:22 PM 
是啊。。 你可以去另外一个帖那边, 第50或51页。。
我有放照片在那边。
现在都不懂是毁容还是什么。。。
欲哭无泪。。。 |
|
|
|
|
|
|
|
|
|
|

楼主 |
发表于 27-12-2010 11:56 PM
|
显示全部楼层
回复 8# eefuan9888
是啊,政府只收十八岁或以下的~所以要绑政府的就要在十八岁之前注册/放名字咯..不过不用紧啦~看私人可以慢慢供嘛,绑牙是对笑容的一项投资嘛..一生人一次,当然要美美丽丽啦 |
|
|
|
|
|
|
|
|
|
|

楼主 |
发表于 27-12-2010 11:58 PM
|
显示全部楼层
回复 11# 快乐四叶草
之前在牙套一族那里有看到你的情况。
还没到拆线的那刻都都还不知最后的效果的,也许没有你想象那么严重呢~对医生和自己要有信心,加油 |
|
|
|
|
|
|
|
|
|
|
发表于 3-1-2011 05:10 PM
|
显示全部楼层
回复 1# AgnessKwan
樓主,期待你的故事。。。 你開始綁了嗎??? |
|
|
|
|
|
|
|
|
|
|

楼主 |
发表于 3-1-2011 05:53 PM
|
显示全部楼层
回复 AgnessKwan
樓主,期待你的故事。。。 你開始綁了嗎???
甘丹就好 发表于 3-1-2011 05:10 PM 
hi~新年快乐..开始绑了一个月了~会继续写,可能比较慢(刚开学)..不好意思哦 |
|
|
|
|
|
|
|
|
|
|
发表于 3-1-2011 06:20 PM
|
显示全部楼层
回复 15# AgnessKwan
嗨,新年快樂。 哦,那你有選擇拔牙嗎?你是上下都綁嗎?一個月後覺得臉有任何的改變嗎? |
|
|
|
|
|
|
|
|
|
|

楼主 |
发表于 4-1-2011 09:43 AM
|
显示全部楼层
|
|
|
|
|
|
|
|
|
|
发表于 4-1-2011 10:35 AM
|
显示全部楼层
回复 17# AgnessKwan
哦,原來如此。。呵呵呵。。。 好的,期待你更多的日記。 |
|
|
|
|
|
|
|
|
|
|

楼主 |
发表于 4-1-2011 04:49 PM
|
显示全部楼层
|
最后,我选择了绑政府的.金钱的影响力很大下了..啊哈~ 私人: first consult RM25
X-Ray Rm100-200
拔牙,补牙另算
绑牙RM4500++(traditional braces)
绑牙(damon system) RM6000++
分期付款,首期RM2500
政府:first consult FOC
X-Ray Foc
补牙 Foc 拔牙可以选择政府拔或出去私人拔(我选私人) 绑牙RM700(RM500绑牙,RM200retainer) 分期付款,首期RM150 其实除了价钱之外,我的选择也因为我对政府牙科人员的first consult的印象很好~ |
|
|
|
|
|
|
|
|
|
|

楼主 |
发表于 4-1-2011 04:50 PM
|
显示全部楼层
回复 AgnessKwan
哦,原來如此。。呵呵呵。。。 好的,期待你更多的日記。
甘丹就好 发表于 4-1-2011 10:35 AM 
请问你也是牙套一族吗??还是你打算绑牙呢? |
|
|
|
|
|
|
|
|
| |
本周最热论坛帖子
|